食欲の秋をいつまでも楽しむために。歯の定期検診受けていますか?
はじめに:美味しい季節と、歯の密接な関係
秋の気配が深まり、街には金木犀の香りが漂い始めるこの季節は、
しかし、これらの豊かな恵みを心ゆくまで堪能するためには、何よ
もし、歯が痛んだり、歯茎が腫れていたり、詰め物が外れかかって
当院では、患者さん一人ひとりが、生涯にわたってご自身の歯で美味

第1章:食欲の秋を脅かす「見えない敵」
秋の味覚は素晴らしい栄養を持っていますが、その裏側には、歯の
1. 糖質・粘着質の多い食べ物による虫歯リスクの上昇
秋の味覚には、栗やサツマイモ、ブドウ、干し柿など、自然の甘み
栗ご飯、焼き芋:ホクホクとした食感の裏で、繊維質や糖質が歯の
干し柿、ねっとりとした果物:非常に粘着性が高く、長時間歯の表
口の中の細菌は、これらの糖分を餌にして酸を作り出します。この
2. 歯周病による「噛む力」の低下
秋刀魚やレンコン、ゴボウなど、しっかりとした噛みごたえが求め
歯がグラグラする、痛む:硬いものを避けるようになり、食事の楽
片側だけで噛む癖:痛みや違和感のある側を無意識に避けて噛むこ
食べ物が詰まりやすい:歯周病で歯茎が下がると、歯と歯の間に隙
3. 季節の変わり目の免疫力低下
夏の暑さによる疲労が残る秋口は、体調を崩しやすい季節でもあり
第2章:あなたの歯は大丈夫?定期検診の真の価値
多くの方が、歯が痛くなってから、あるいは詰め物が取れてから歯
1. 虫歯・歯周病の「早期発見・早期治療」こそが最大のメリット
虫歯も歯周病も、初期の段階では自覚症状がほとんどありません。
初期虫歯の発見:専門家による定期的なチェック(視診、触診、レ
歯周病のサイン:自覚のない歯茎の炎症や、初期の歯周ポケットの
進行してから治療を行うと、治療期間が長くなり、費用も高額にな
2. プロフェッショナルによる徹底的なクリーニング(PMTC)
毎日の丁寧な歯磨きも、予防には欠かせません。しかし、どんなに
・歯と歯の間
・奥歯の溝
・歯茎の境目
・詰め物や被せ物の縁
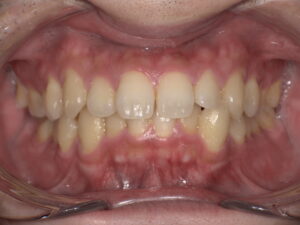
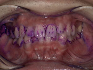
これらの場所に残った細菌の塊(プラーク)が歯石に付着すると歯ぐきの周りに炎症が起きます。歯石は、歯磨きでは落とせず、強力な毒素を出し

↑染め出し前

↑染め出し後
定期検診では、歯科医師や歯科衛生士が、専用の機器を用いて、ご
3. 詰め物・被せ物の「寿命」のチェックとメンテナンス
治療済みの歯に入っている詰め物や被せ物も、経年劣化します。
目に見えない隙間:金属やセラミックなどの修復物と天然の歯との
欠け、ヒビ:強く噛む習慣や食いしばりなどにより、修復物に小さ
定期検診では、これらの修復物の状態を詳細にチェックし、問題が
第3章:歯の健康は「全身の健康」に直結する
口腔内の健康は、単に食事の楽しみだけでなく、全身の健康にまで
1. 歯周病と全身疾患の関連性
特に歯周病は、以下の深刻な全身疾患と関連していることが指摘さ
糖尿病:歯周病が悪化すると血糖値のコントロールが難しくなり、
心筋梗塞・脳梗塞:歯周病菌が出す炎症性物質が血液に乗り、血管
誤嚥性肺炎:特に高齢の方において、口腔内の歯周病菌などの細菌
認知症:最近の研究では、歯周病菌が作り出す毒素が、認知症の原
定期検診で口腔内の炎症を抑え、清潔に保つことは、全身の健康を
2. 「噛む」ことの多大な効果
豊かな食欲の秋を楽しむ上で、「噛む」という行為がもたらす効果
脳の活性化:よく噛むことで脳に心地よい刺激が伝わり、血流が増
唾液の分泌促進:唾液には、食べかすを洗い流す「自浄作用」や、
食べ過ぎの防止:ゆっくりとよく噛んで食べると、満腹中枢が刺激
つまり、定期検診で歯の健康を維持することは、「噛む」という生
第4章:当院が推奨する「あなただけの予防プログラム」
当院では、患者さん一人ひとりの口腔内の状態、生活習慣、リスク要
1. 定期検診で実施する内容
当院の定期検診は、単なる「歯のチェック」に留まりません。以下
精密検査:歯科医師による虫歯・歯周病の進行度チェック、詰め物
歯周組織検査:歯周ポケットの深さ、歯茎の出血の有無などを計測
専門家によるクリーニング(PMTC):専用機器を用いて、歯石
フッ素塗布:歯の再石灰化を促し、歯質を強化するフッ素を塗布し
セルフケア指導:患者さんのお口の状態に合わせた、正しいブラッシ
食生活指導:虫歯や歯周病のリスクを高める食習慣がないかを確認
2. 定期検診の推奨頻度
一般的な目安として、3ヶ月に一度の定期検診をお勧めしています
リスクが低い方:半年に一度も可能。
標準的な方:3ヶ月に一度。
リスクが高い方(歯周病治療後、多数の詰め物・被せ物がある方な
私たちは、患者さんと二人三脚で、この「予防のサイクル」を確立し
結び:未来の食欲の秋のために、今、行動を
「食欲の秋」という言葉を聞くと、旬の美味しい食べ物に心が躍り
私たちが目指すのは、「痛くなってから治す」治療中心の歯科
美味しいものを美味しく食べることは、人生の大きな幸福です。ご
もし、しばらく定期検診を受けていない、歯や歯茎に少しでも違和
未来の美味しい食事のために、今日、一歩踏み出す行動をお待ちし
当院の定期検診・メインテナンスについて、さらに詳しくお知りに
前橋けやき歯科・矯正歯科:https://keyaki-mbdc.jp/
〒371-0801 群馬県前橋市文京町2丁目1-1 けやきウォーク前橋内
電話:027-212-0766
電車でお越しの方:
前橋 駅 徒歩10分 けやきウォーク前橋内
お車でお越しの方:
大型無料駐車場 3,300台分完備
