歯周病治療の基本的な流れと成功の鍵~前橋けやき歯科・矯正歯科が実践する P①・P②・再評価③・SPT(メンテナンス)~
2025/10/24
こんにちは。前橋けやき歯科・矯正歯科です。
今回は、多くの方が気にされている歯周病治療について、当院で患者さんと二人三脚で進めている治療の基本的な流れを、
**「P① → P② → 再評価③ → SPT(メンテナンス)」**のステップに沿って、より詳しく、掘り下げてご紹介します。
歯周病は、「静かに進行する病気(サイレントキラー)」と呼ばれます。初期段階ではほとんど痛みを感じることがないため、自覚症状がないままに進行し、気づいたときには歯を支える骨(歯槽骨)が大きく溶けてしまっているケースも少なくありません。残念ながら、一度解けてしまった骨は元に戻すことができません。
ですが、これ以上溶けないように予防することはできます!
精密な検査、徹底した治療、そして何より患者さんご自身による質の高いホームケアを継続することで、その進行を食い止め、健康な状態を長期的に維持することが可能です。
🌿STEP1:P① 初期治療(歯ぐきの炎症を抑えるための土台作り)
まず歯周病治療のスタートラインとなるのが、P①(初期治療の1回目)です。この段階の目的は、炎症の原因となっているプラーク(歯垢)や、比較的浅い部分の歯石を取り除き、歯ぐきの炎症を落ち着かせるための「お口の環境を整える」こと、そして、現状を正確に把握し、治療の設計図を描くための「精密検査」です。
🔹P①の主な内容
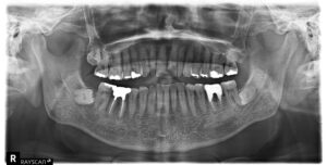
・レントゲン写真の撮影
歯ぐきに隠れて目視できない歯槽骨の吸収状態、歯石が深く付着している場所、そして虫歯の有無を確認します。これにより、歯周病の**進行度(ステージ)**を正確に診断し、P②以降の治療戦略を立てるための必須情報となります。 実際のレントゲン写真です。※患者様の許可を得て記載しております

※患者様の許可を得て記載しております。
・口腔内写真の撮影
治療開始前のお口全体や個々の歯周ポケット周辺の炎症状態を写真で記録します。治療後の再評価の際に比較することで、客観的な改善度を把握でき、患者さんご自身も努力の成果を視覚的に実感できます。

※患者様の許可を得て記載しております。
・歯周病検査(基本検査)
歯と歯ぐきの境目にある歯周ポケットの深さ、出血の有無(BOP:Bleeding on Probing)、歯の動揺度(グラつき)を測定します。このデータから、歯周病の進行度が分かり、治療の優先順位を決定します。
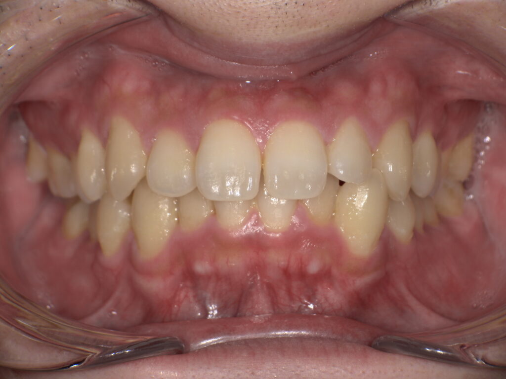
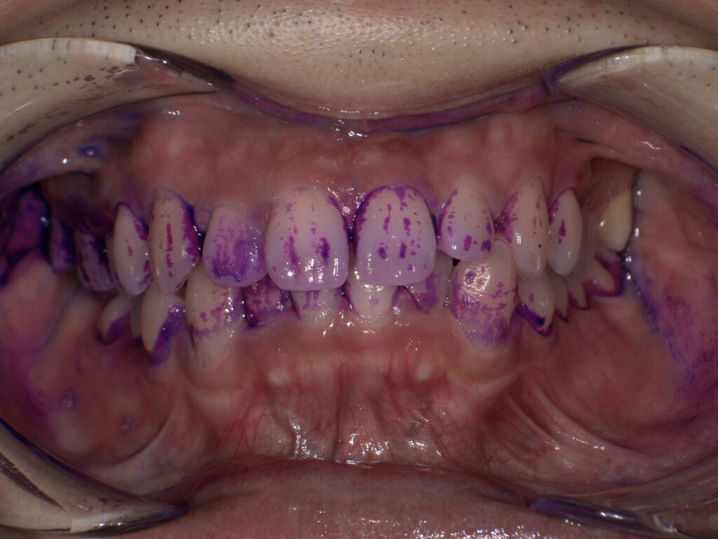
・染め出しとホームケアの確認
P①で最も重要なステップの一つです。歯周病治療の成功は、患者さんのご自宅での**ブラッシング(セルフケア)**にかかっていると言っても過言ではありません。染め出し液を使用し、磨き残しの部位を特定。患者さんの癖や歯並びに合わせた、効果的な歯ブラシの動かし方や、フロス・歯間ブラシの正しい使い方をマンツーマンで確認します。

↑きれいに見えていても、↓染め出しをするとこんなにも磨き残しがたくさんあります。

※患者様の許可を得て記載しております。
・スケーリング(歯石取り)
歯の表面や、比較的歯ぐきの上に出ている部分の歯石を取り除きます。この段階での歯石除去は、歯ぐきの表面的な炎症を軽減させ、次の段階であるP②を安全に、かつ効果的に行うための基礎ケアとなります。
P①の治療が終わると、多くの場合、歯ぐきの腫れが少し引き始め、ブラッシング時の出血が減ってくるなど、炎症の初期的な改善が見られ始めます。
これは、本格的な歯周病治療へと進むための**「準備期間」**です。
⏰2週間後
🌿STEP2: P② (歯肉の中の歯石を徹底的に除去)
P①の治療から約2週間後を目安に、歯ぐきの炎症が落ち着いてきた段階でP②に進みます。この期間を置くことで、歯ぐきの腫れが軽減し、より深い部分に器具を安全に挿入できる環境が整います。
🔹P②の主な内容
P②の中核となるのが、**SRP(スケーリング・ルートプレーニング)**です。
・歯周病検査(再確認)
P①での治療効果、特にホームケアの効果を測るために、歯周ポケットの深さや出血の状態を再度チェックします。この再チェックは、ホームケアの修正点を見つける上でも重要です。
・染め出しとホームケアの確認
P①から継続しているホームケアの定着度を確認します。磨き残しが残る**「苦手な部位」を再度確認し、その部位に特化したブラッシング法をさらに細かく指導**します。
・SRP(スケーリング・ルートプレーニング)
これこそがP②の最も大切な、歯周病治療の「核心」をなす処置です。専用の器具を使い、歯ぐきの中の見えない部分(歯周ポケットの中)に付着している、固くて強固な「根面の歯石」や、強力な細菌の塊である「バイオフィルム」を徹底的に掻き出します。さらに、歯根の表面を磨き上げてツルツルにすることで、細菌が再び付着しにくい環境を形成します。この処置は、炎症の根本原因を取り除くため、部位によっては時間がかかり、麻酔が必要になることもありますが、歯を長期間守るためには欠かせないステップです。
P②の治療後は、歯ぐきがしっかりと引き締まり、深かった歯周ポケットが浅くなり、出血や腫れが改善されることが期待されます。
⏰さらに2週間後
🌿STEP3:再評価③(治療成果の判定と今後の方向性決定)
P②から約2週間後に実施するのが、再評価③です。これは、P①とP②の基本治療が、患者さんの歯周病に対してどれだけの効果をもたらしたかを客観的に判断し、今後の治療の方向性を決めるための重要な「審判」のステップです。
🔹再評価③の内容
・歯周病検査の再実施
P①・P②前と比べて、歯周ポケットの深さ、出血、動揺度がどの程度改善したかを数値で再評価します。特に深かったポケットが減少しているかどうかが重要な指標です。
・染め出しによるホームケアのホームケアの確認
患者さんのホームケアが**「習慣」**として定着しているかを確認します。染め出し結果が良好であれば、セルフケアの質の高さを証明します。
🌟ここが治療の分岐点!
再評価の結果、歯周病治療は以下のどちらかの道に進みます。
1. 【改善が見られた場合】
• → 炎症が十分に落ち着き、歯周ポケットが浅くなった、または出血が落ち着いた等の場合、治療は成功と見なされ、**約1か月後にSPT(メンテナンス)**へ移行します。
• →染め出しとホームケアの確認 その後は3か月に1回程度の定期的なSPTで、健康な状態を維持していきます。
虫歯ができた場合、早期発見にもつながります。
2. 【改善が十分でなかった場合】
• → 一部の部位で歯肉の炎症が残っている場合は、さらに改善を促すため、その部位のみの**再SRP(歯周ポケットの中の歯石とり)**を検討します。
• → 再SRPでも改善が見込めない、または骨の吸収がが進行しすぎていて基本治療では限界がある場合は、**FOP(フラップ手術などの歯周外科治療)**を検討します。これは、歯ぐきを切開して、直接目で見て歯石や病巣を除去する高度な治療です。
この再評価があることで、患者さんは**「自分に合った治療」が何であるかを理解し、ご自身の努力の結果を「見える化」**して実感することができます。
🌿STEP4:SPT(メンテナンス)で健康を維持!
再評価を経て、歯周病が落ち着いた状態を**「治癒」ではなく「安定」と捉え、その安定した状態を長期的に保つために欠かせないのが、SPT(Supportive Periodontal Therapy:サポーティブ・ペリオドンタル・セラピー)、すなわち定期的なメンテナンス**です。
歯周病は、生活習慣病であり、再発のリスクを常に抱えています。「もう治ったから終わり」ではなく、**「治った状態を守る」**ための継続ケアが、歯を失わないための最後の、そして最も重要なステップです。
🔹SPT(メンテナンス)で守り続ける
SPTでは、基本的に3か月に一度の間隔で来院していただき、以下の内容を実施します。
• 口腔内写真の撮影:定期的に撮らせてもらうことにより、変化に気が付きやすく、ご自身でみることもできるためモチベーションアップにも繋がります。
• 歯周病検査: 歯ぐきの状態が安定しているかをチェックし、ごく小さな変化も見逃しません。
• ポケット内の細菌の除去: 普段のブラッシングでは届きにくい、歯周ポケットの浅い部分に潜む細菌を専用機器で除去します。
• PMTC(専門家による機械的歯面清掃): 歯の表面に付着した着色や、まだ硬化していないプラーク(バイオフィルム)を徹底的にクリーニングし、細菌が住みつきにくい環境を維持します。
• ホームケアの確認・改善指導: 磨き方の癖や弱点を定期的に見直し、モチベーションを維持しながらブラッシングの質を保つための指導を継続します。
🩵まとめ:歯周病治療は“プロケア”と“ホームケア”のチームプレー
前橋けやき歯科・矯正歯科が提供する歯周病治療は、**「P① → P② → 再評価③ → SPT」**とい流れに基づいています。
この治療プロセスは、歯科医院で行う「プロケア」と、患者さん自身が行う「ホームケア」という両輪が揃って初めて成功するチーム医療です。
1. P①・P②・再評価: 根本原因を除去し、炎症を改善させるための集中的なプロケア
2. 毎日の丁寧なブラッシング: 新たな炎症の火種を作らないための日々のホームケア
3. 継続的なSPT: 安定した状態を維持し、再発を予防するための生涯にわたるサポート
この3つのバランスが、**「歯を失わないための最良の治療」**であり、「歯を守り続けること」につながります。
当院では、患者さん一人ひとりに合わせた丁寧な治療計画を立て、「分かりやすく・痛くなく・安心できる」歯周病治療を心がけています。歯ぐきの腫れや出血、口臭などが気になる方は、進行する前にぜひお気軽にご相談ください。
🦷 前橋けやき歯科・矯正歯科
住所:〒371-0801 群馬県前橋市文京町2丁目1-1
電話:027-212ー0766
診療時間:10時~19時30分 ※最終受付19時(休診日:月曜日 ※祝日の月曜日は診療しております)
前橋けやき歯科・矯正歯科:https://keyaki-mbdc.jp/
〒371-0801 群馬県前橋市文京町2丁目1-1 けやきウォーク前橋内
電話:027-212-0766
電車でお越しの方:
前橋 駅 徒歩10分 けやきウォーク前橋内
お車でお越しの方:
大型無料駐車場 3,300台分完備
