【歯科医師が解説】オフィスvsホームホワイトニング!料金・効果を徹底比較|
2025/11/17
「もっと歯が白かったら、笑顔に自信が持てるのに…」
「最近、歯の黄ばみが気になってきた…」
このように感じている方はいらっしゃいませんか?
コーヒーやお茶、カレーといった色の濃い飲食物、加齢や喫煙など、歯の黄ばみの原因は日常生活のさまざまなところに潜んでいます。一度着色してしまった歯を、毎日の歯磨きだけで元の白さに戻すのは非常に困難です。
そんな歯の黄ばみのお悩みを解決し、輝くような白い歯を手に入れるための方法が「ホワイトニング」です。
こんにちは!「前橋けやき歯科・矯正歯科」です。 当院は、お買い物ついでにも気軽に立ち寄れる、地域の皆様の健康を支える歯科医院を目指しています。
今回は、ホワイトニングの代表的な2つの方法、「オフィスホワイトニング」と「ホームホワイトニング」について、それぞれの特徴や効果、費用などを徹底比較し、あなたに最適な方法を見つけるお手伝いをします。
そもそも、歯が黄ばむ原因とは?
ホワイトニングの方法を知る前に、まずは歯がなぜ黄ばんでしまうのか、その原因を理解しておきましょう。
・着色性の高い飲食物:コーヒー、紅茶、赤ワイン、カレー、チョコレートなど
・喫煙:タバコに含まれるタール(ヤニ)
・加齢:年齢とともに歯の表面のエナメル質が薄くなり、内側の象牙質(黄色っぽい色)が透けて見える
・初期の虫歯:歯の表面が溶け始めることで、光沢がなくなり黄ばんで見える
・歯の乾燥:口呼吸などでお口が乾燥すると、着色しやすくなる
これらの原因によって、歯は少しずつ白さを失っていきます。
歯科医院で完結!即効性が魅力の「オフィスホワイトニング」
オフィスホワイトニングとは、その名の通り、歯科医院(オフィス)で行うホワイトニングのことです。歯科医師や歯科衛生士といった専門家が、高濃度のホワイトニング剤と特殊な光を使って施術を行います。

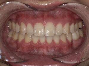
オフィスホワイトニング前(開咬した状態での写真ですみません)

オフィスホワイトニング後(1回)
オフィスホワイトニングのメリット
・即効性が高い:医院内でしか使えないほどの高濃度の薬剤を使用するので、1回の施術でも効果を実感しやすく、短期間で歯を白くしたい方におすすめです。結婚式や就職活動など、大切なイベントを控えている方にも人気です。
・プロに任せられる安心感:専門家が施術を行うため、色ムラになる心配が少なく、安全性が高いです。
・手間がかからない:すべて歯科医院で完結するため、ご自身で何かをする手間がありません。
オフィスホワイトニングのデメリット
・後戻りしやすい:高濃度の薬剤で一気に白くするため、色の後戻りがホームホワイトニングに比べて早い傾向があります。
・費用が比較的高め:1回あたりの費用はホームホワイトニングよりも高くなります。
・知覚過敏が起きることがある:高濃度の薬剤を使用するため、一時的に歯がしみるような症状(知覚過敏)が出ることがあります。(しみる症状が出た場合はしみ止めのお薬を塗布することが可能です。)
費用と期間の目安(医院によって変わります)
・費用:1回あたり13,000円から(コースや回数券あり)
・期間:1回の施術は1時間~1時間半程度。目標の白さになるまで、1~4回程度の通院が必要です。
自宅で手軽に!持続性が魅力の「ホームホワイトニング」
ホームホワイトニングは、歯科医院で自分専用のマウスピースを作成し、ご自宅で低濃度のホワイトニング剤をマウスピースに注入して装着する方法です。
ホームホワイトニングのメリット
・白さの持続性が高い:低濃度の薬剤でじっくりと時間をかけて白くしていくため、オフィスホワイトニングに比べて後戻りしにくいのが特徴です。
・自分のペースで行える:ご自身の好きなタイミングでホワイトニングができます。
・費用を抑えられる:オフィスホワイトニングに比べて、費用が比較的安価です。
・奥歯まで白くできる:マウスピースが届く範囲であれば、奥歯まで白くすることが可能です。
ホームホワイトニングのデメリット
・効果を実感するまでに時間がかかる:毎日継続して行い、効果を感じるまでに通常2週間~1ヶ月程度の時間が必要です。
・自己管理が必要:ご自身で薬剤の管理やマウスピースの装着を行う必要があり、継続する意志が求められます。
・マウスピースの装着に違和感を感じることがある:慣れるまでは、装着時の違和感が気になる方もいます。
・途中でマウスピースの再作製が必要な場合がある:むし歯になったり、歯列に形態的な変化が起こったとき、マウスピースが合わなくなるため、その場合は再度作製する必要があります。
費用と期間の目安
・費用:マウスピース作製+薬剤で26,000円(薬剤は追加購入できます)
・期間:毎日30分~2時間程度の装着を、2週間~1ヶ月ほど継続します。
当院が採用する高品質「ボーテ式ホワイトニング」とは?
前橋けやき歯科・矯正歯科では、審美歯科にも力を入れており、ホワイトニング剤は高品質で評価の高い「ボーテ式ホワイトニング」を採用しています。
ボーテのホワイトニングは、従来のホワイトニングのデメリットであった「歯にしみやすい」「痛い」といった点を大幅に改善した、歯と歯ぐきに優しいホワイトニングです。
ボーテ式ホワイトニングの3つの特徴
1. 痛みが少なく、歯に優しい:知覚過敏を予防する硝酸カリウム配合により、知覚過敏が起こりにくく、歯の質を傷つけません。
2. 歯質を強化する効果:歯質を強くするハイドロキシアパタイト配合により、歯の再石灰化を促し、歯質を強化する効果も期待できます。これは、虫歯予防にも繋がります。
3. 透明感のある自然な白さ:ただ白くするだけでなく、歯が本来持つ透明感を最大限に引き出し、健康的で美しい自然な白さを実現します。
4. 計画的に理想の白さを目指せるシステム:現段階での歯の白さと目標とする歯の白さをシェードガイドという指標で確認し、およその回数や方法などを提案できるシステムを構築しているので、漠然とホワイトニングがいつ終わるのかがわからないまま行うのではなく、明確な目標を事前に確認しながら進めていくことができます。
当院では、このボーテ式ホワイトニングを用いて、患者さん一人ひとりのお口の状態やご希望に合わせた最適なプランをご提案します。
オフィスとホーム、あなたに合うのはどっち?
| 項目 | オフィスホワイトニング | ホームホワイトニング |
| 施術場所 | 歯科医院 | 自宅 |
| 即効性 | ◎(高い) | △(時間がかかる) |
| 持続性 | △(後戻りしやすい) | ◎(後戻りしにくい) |
| 費用 | 比較的高め | 比較的安価 |
| 手軽さ | ◎(プロに任せられる) | ◯(自分のペースでできる) |
| 知覚過敏 | 出やすい傾向がある | 出にくい傾向がある |
| おすすめな人 |
・短期間で歯を白くしたい方
・イベントを控えている方
・自分でやるのが面倒な方
|
・効果を長持ちさせたい方
・自分のペースで進めたい方
・費用を抑えたい方
|
さらに効果を求めるなら「デュアルホワイトニング」
デュアルホワイトニングとは、オフィスホワイトニングとホームホワイトニングを併用する方法です。
オフィスホワイトニングで一気に歯を白くし、その後ホームホワイトニングで白さを維持しながら、さらに内部から白くしていきます。それぞれのメリットを最大限に活かすことができるため、最も効果が高く、白さも長持ちする方法です。理想の白さを追求したい方に最適なプランと言えるでしょう。
まとめ:自分に合った方法で、自信の持てる笑顔を
オフィスホワイトニングとホームホワイトニング、それぞれの特徴をご理解いただけたでしょうか。
・すぐに効果を実感したいなら「オフィスホワイトニング」
・白さを長持ちさせたいなら「ホームホワイトニング」
・最高の効果を求めるなら「デュアルホワイトニング」
大切なのは、ご自身のライフスタイルやご希望に合わせて、最適な方法を選ぶことです。
「前橋けやき歯科・矯正歯科」では、ホワイトニングを始める前に、必ず丁寧なカウンセリングを行います。患者さんのお悩みやご希望をしっかりとお伺いし、お口の状態を診察した上で、最適なホワイトニングプランを一緒に考えていきます。
ホワイトニング
前橋けやき歯科・矯正歯科:https://keyaki-mbdc.jp/
〒371-0801 群馬県前橋市文京町2丁目1-1 けやきウォーク前橋内
電話:027-212-0766
電車でお越しの方:
前橋 駅 徒歩10分 けやきウォーク前橋内
お車でお越しの方:
大型無料駐車場 3,300台分完備
